Автор Тема: Крыса дышит боками  (Прочитано 11911 раз)

Оффлайн Kruska50

  • Новичок
  • Сообщений: 45
Крыса дышит боками
« : 16.01.2026, 16:04:30 »
Анкета
Город:
Чебоксары
Возраст крысы:
1год11меся
Вес крысы:
500
2. Чебоксары.
3. Самец, 1 год 11 месяцев и 500 грамм.
4. Подробные симптомы - это поможет лучше понять, что с животным.
5. Анамнез. Болела ли крыса ранее. Если да, то симптомы, чем лечили, название препаратов, сколько мг в таблетке, какие дозы, сколько раз в день, длительность курса. Приложите фото рентгена, назначений.

Раннее никогда не болела. Помогите пожалуйста разобраться нам
27 декабря удалили крысе глаз. По словам врача, внутри была не понятная желеобразная консистенция, которую не смогли прочистить до конца.
Швы должны были снимать 10 января, но за 3 дня до этого крыса начала поначалу глубже дышать, дышал боками, но это быстро проходило, когда крысу гладили. Думали, что вновь начинает болеть, так как за 2 дня до этого был отменен неболин, так как закончился курс.(плюсом принимали антибиотик энроксил 14 дней 2 раза в день 1/3 таблетки)
В итоге накануне снятия прибавилось, что начались звуки носом, будто сопли не дают нормально вдохнуть и начал глотать ртом воздух, когда находится в спокойном положение. Когда он активничал, ничего этого не наблюдалось. Еще у него появилось такое, что когда он например моется, то будто замирает, посидит так минуту-две, потом вновь продолжает. Было и такое, что замирал с чем-то вкусным во рту и не шевелится, потом продолжает действия. За эти дни он отказался от воды. Отпаивали через огурец, яблоко и детское пюре, доведенное до супа (размешивали с водой).
Поехали снимать швы, по итогу и это отложилось из-за дыхания крысы. Отправили на рентген. Сделали. Сначала говорили, что по тени сердца кажется, что увеличено. Потом откинули вариант, сказали, что газы в желудке, так как хватает ртом воздух.
Думали забит нос, прописали ингаляции флуимицил и натрия хлорид (3 к 3), и доксициклин 1/20 - 2 раза в день. После антибиотиков будто становилось лучше, но на первые 15 минут. От ингаляций сначала он будто прочихался в первый раз, думали пробило. Но это возвращалось вновь и ингаляции перестали приносить толк.
По итогу сделали узи сердца, но никто не может расшифровать! Не можем найти никого, кто этим занимался бы. Соответственно, не можем начать лечение. Когда были приступы, сажали в кислородный концентратор. Поначалу становилось ему легче, потом ему и там было беспокойно дышать. Сразу посадили в ингалятор с дексаметазоном, стало еще хуже, начал вновь хватать ртом воздух. (Ветеринар тоже его прописал однократно для облегчения состояния на крайний случай) Через полчаса был сделан укол Фуросемида, сразу заактивничал сильно, все стало ему интересно. По итогу после фуросемида его улучшенное состояние держится почти сутки. Но, одним фуросемидом его не вытянуть. А диагноза по узи у нас нет.

6. Видео - https://vkvideo.ru/video/playlist/364460395_1 (Есть состояние крысы, и само видео УЗИ крысы)
7. ФОТО - https://vk.ru/album364460395_243115263   (Есть рентген там, и кончик носа между ноздрями начал синеть почему то, есть там диагностика УЗИ без заключения (НО сильно не уверены в этих результатах УЗИ, делала обычная девушка которая собаками занимается, и аппаратом для собак делала УЗИ)

8. Наполнитель - пелёнки , и кукурузный наполнитель. Влажность 45-55 %.
9. Небулайзер есть!
10.  Рацион корм литтл уан. огурцы. пюре кабачковое детское. яблоки. зверюшки гранулы лакомства.

Если что то оформил не по правилам, прошу прощения. Исправлю, добавлю, всё что скажете, главное помогите нам пожалуйста....
« Последнее редактирование: 16.01.2026, 16:40:31 Kruska50 »

Оффлайн Maha

  • Главный модеRАТор
  • СоRATник
  • Сообщений: 39.190
  • У крысы четыре ноги, позади длинный хвост...
    • Дневник пользователя
  • Имя: *Мария*
  • Откуда: Москва, Водный стадион
Re: Крыса дышит боками
« Ответ #1 : 16.01.2026, 20:43:48 »
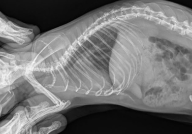
Сердце на рг увеличено, выражен лёгочный рисунок. По УЗИ ничего не могу сказать.
Проконсультируйтесь с Комалтиловой или Ярымовой https://ratmania.ru/forum/index.php?topic=30113.0

Продолжала бы дальше Доксициклин так же по 5мг х 2 раза в день, недели на три
Фуросемид 0.1мл подкожно раз в день, три дня
Ветмедин (или аналоги) по 0.2мг х 2 раза в день
Эспумизан по 0.2мл х 2 раза в день, в рот, 2-3 дня (есть газы в кишечнике, в желудке нет)
Крыс больше нет... /06.09.2006 - 12.09.2023/

Оффлайн Kruska50

  • Новичок
  • Сообщений: 45
Re: Крыса дышит боками
« Ответ #2 : 16.01.2026, 21:07:15 »
А сердце значит 100% увеличено? Мы просто у нашего ветеринара спрашивали который в городе он говорит что нормальное сердце (но говорят что он только хирург хороший по крысам, но не по терапевтии) и значит 100% нужно ветмидин давать? Мы купили его, аптечку имеем крысинную. Не подскажете пожалуйста сколько это 0.2 мг в частях если разделить таблетку? И сколько дней давать ветмидин?

Флуимицил нам отменить тогда ингаляции?

А судя по видео нашим по такому его поведению/дыханию тоже сердце думаете?

Взвесили щас заново, изначально до операции на глаз он весил 470, сейчас оказывается 430 грамм! Прошу прощения!

Спасибо большое за помощь!
« Последнее редактирование: 16.01.2026, 21:22:27 Kruska50 »

Оффлайн Maha

  • Главный модеRАТор
  • СоRATник
  • Сообщений: 39.190
  • У крысы четыре ноги, позади длинный хвост...
    • Дневник пользователя
  • Имя: *Мария*
  • Откуда: Москва, Водный стадион
Re: Крыса дышит боками
« Ответ #3 : 16.01.2026, 21:38:09 »
Не подскажете пожалуйста сколько это 0.2 мг в частях если разделить таблетку?
Сколько мг в таблетке?

А судя по видео нашим по такому его поведению/дыханию тоже сердце думаете?
Я думаю да. В лёгких ничего страшного нет, желудок не раздут (он мог бы выдавать дыхание ртом) а газы в кишечнике незначительные. Нос синеет, одышка есть, дыхание ртом есть. Сердце в любом случае перекачивается.
Флуимуцил можно оставить, если не нервничает.
УЗИ я не смотрю.
Не исключала бы источник проблемы в голове, так как нос, глаза, уши связаны. На видео отёка после энуклеации нет, но это ни о чем не говорит, может всё же есть какое-то воспаление или отёк.
Была бы на 100% уверена, не рекомендовала бы консультироваться с рекомендованными врачами.
Крыс больше нет... /06.09.2006 - 12.09.2023/

Оффлайн Kruska50

  • Новичок
  • Сообщений: 45
Re: Крыса дышит боками
« Ответ #4 : 16.01.2026, 21:42:39 »
Сколько мг в таблетке?
Ветмидин 1.25 мг у нас.

На сколько частей делить получается? Мы обычно в порошок превращаем и на части делим. 2 раза в день получается, и сколько дней всего? Спасибо

Оффлайн Maha

  • Главный модеRАТор
  • СоRATник
  • Сообщений: 39.190
  • У крысы четыре ноги, позади длинный хвост...
    • Дневник пользователя
  • Имя: *Мария*
  • Откуда: Москва, Водный стадион
Re: Крыса дышит боками
« Ответ #5 : 16.01.2026, 22:12:25 »
Ветмидин 1.25 мг у нас.

На сколько частей делить получается? Мы обычно в порошок превращаем и на части делим. 2 раза в день получается, и сколько дней всего? Спасибо
1/6 на приём
Крыс больше нет... /06.09.2006 - 12.09.2023/

Оффлайн Kruska50

  • Новичок
  • Сообщений: 45
Re: Крыса дышит боками
« Ответ #6 : 17.01.2026, 11:03:24 »
1/6 на приём
А то что крысе стало лучше после всей этой болезни, уже стабилен 2 дня. у него всё хорошо, он активен. ест. бегает. интерес к жизни проявляет. это после доксициклина, флуимицила, 2 дня фуросимеда. сейчас он как абсолютно здоровая крыса. может лечение помогает такое какое сейчас делаем, и ветмидин не нужен, может от ветмидина только хуже сделаем? Всё таки сердечный препарат. Простите, за мою мнительность.

Оффлайн Maha

  • Главный модеRАТор
  • СоRATник
  • Сообщений: 39.190
  • У крысы четыре ноги, позади длинный хвост...
    • Дневник пользователя
  • Имя: *Мария*
  • Откуда: Москва, Водный стадион
Re: Крыса дышит боками
« Ответ #7 : 17.01.2026, 17:02:48 »
Не будет хуже.
У вас крысе лучше чисто на диуретике- отмените и всё вернется.
Крыс больше нет... /06.09.2006 - 12.09.2023/

Оффлайн KosH

  • Крысовод
  • Сообщений: 923
  • Угольно-чёрная крысЪ
  • Имя: Настя
  • Откуда: Екатеринбург
Re: Крыса дышит боками
« Ответ #8 : 17.01.2026, 17:42:27 »
У вас крысе лучше чисто на диуретике- отмените и всё вернется.
Извиняюсь что влажу, общими усилиями крысоводов(не владельца) рекомендованные врачи видели узи/рентген и сказали что сердце в полном порядке.
Получив консультацию и по рентгену и по узи он пишет теперь и сюда, наверное ответ не устроил ...
В данный момент крыса уже несколько дней диуретика не получает, вернулась к нему с передержки с лечением, рекомендациями и в стабильном состоянии.
« Последнее редактирование: 17.01.2026, 20:50:38 KosH »
Дома полно-крысье.

Оффлайн Maha

  • Главный модеRАТор
  • СоRATник
  • Сообщений: 39.190
  • У крысы четыре ноги, позади длинный хвост...
    • Дневник пользователя
  • Имя: *Мария*
  • Откуда: Москва, Водный стадион
Re: Крыса дышит боками
« Ответ #9 : 18.01.2026, 00:06:02 »
KosH, Насть, спасибо, что отписалась.
Интересно за счет чего крыса в полном порядке, но да ладно.
Крыс больше нет... /06.09.2006 - 12.09.2023/

Оффлайн KosH

  • Крысовод
  • Сообщений: 923
  • Угольно-чёрная крысЪ
  • Имя: Настя
  • Откуда: Екатеринбург
Re: Крыса дышит боками
« Ответ #10 : 18.01.2026, 10:34:40 »
Насть, спасибо, что отписалась.
Интересно за счет чего крыса в полном порядке, но да ладно.
Воспаление в носу на рентгене , не исключено, что это связано с глазом, что то его выдавливало же. Для доп диагностики нужно кт.
Всех на уши подняли и тут тоже  lo
Дома полно-крысье.

Оффлайн Maha

  • Главный модеRАТор
  • СоRATник
  • Сообщений: 39.190
  • У крысы четыре ноги, позади длинный хвост...
    • Дневник пользователя
  • Имя: *Мария*
  • Откуда: Москва, Водный стадион
Re: Крыса дышит боками
« Ответ #11 : 19.01.2026, 02:33:10 »
Воспаление в носу на рентгене , не исключено, что это связано с глазом, что то его выдавливало же. Для доп диагностики нужно кт.
Всех на уши подняли и тут тоже  lo
И чем снимается отёк?
Мелоксикам?
Если это вызывает одышку/удушье, сердце не надо поддерживать?
Не очень, понимаю что там с сердцем нормально, на боковой проекции оно приличных таких размеров.
« Последнее редактирование: 19.01.2026, 02:43:43 Maha »
Крыс больше нет... /06.09.2006 - 12.09.2023/

Оффлайн KosH

  • Крысовод
  • Сообщений: 923
  • Угольно-чёрная крысЪ
  • Имя: Настя
  • Откуда: Екатеринбург
Re: Крыса дышит боками
« Ответ #12 : 20.01.2026, 11:49:12 »
Если это вызывает одышку/удушье, сердце не надо поддерживат
А тут я не могу сказать про рентген, я ж их не читаю, но как минимум 3 врача сказали что сердце выглядит нормально, дословно большим оно выглядит потому что "крыса похудела ", я тож его вижу большим, пусть в Казань едут эхо переделывать, оно может быть сделано не корректно. Или хотя бы у Ярымовой консультацию, тоже лишним не будет . А в эхо я тем более не понимаю ровно ничего, у них видеоряд на руках.
По которому заключение, что сократимость сердца в норме, но сделано оно криво.
« Последнее редактирование: 20.01.2026, 12:05:04 KosH »
Дома полно-крысье.

Оффлайн Maha

  • Главный модеRАТор
  • СоRATник
  • Сообщений: 39.190
  • У крысы четыре ноги, позади длинный хвост...
    • Дневник пользователя
  • Имя: *Мария*
  • Откуда: Москва, Водный стадион
Re: Крыса дышит боками
« Ответ #13 : 20.01.2026, 15:13:47 »
дословно большим оно выглядит потому что "крыса похудела "
Бред какой-то
Крыс больше нет... /06.09.2006 - 12.09.2023/

Оффлайн Kruska50

  • Новичок
  • Сообщений: 45
Re: Крыса дышит боками
« Ответ #14 : 22.01.2026, 15:22:15 »
А то что крысе стало лучше после всей этой болезни, уже стабилен 2 дня. у него всё хорошо, он активен. ест. бегает. интерес к жизни проявляет. это после доксициклина, флуимицила, 2 дня фуросимеда. сейчас он как абсолютно здоровая крыса. может лечение помогает такое какое сейчас делаем, и ветмидин не нужен, может от ветмидина только хуже сделаем? Всё таки сердечный препарат. Простите, за мою мнительность.


Добрый день. После этого сообщения, числа где то 19, крысе после ингаляции флуимицила резко стало плохо. Снова она начала задыхаться, дышать боками, ртом, опять апатия и пытается от нас скрыться спрятаться где нибудь, лезет наверх везде, вытягивает шею.

С 20 января в кислородном боксе ежедневно, постоянно. На 50% кислороде. Вытаскиваем только чтобы дать лекарства, и откормить. Без кислорода дышит боками, уставше. Бывает иногда с кислорода вытаскиваем и бегает бодро, сама подойдёт возьмёт еду и поест, но это длится минут 5, и всё опять всё те же симптомы.   Даём огурцы, яблоко, кушает. Воду пьёт нехотя если даём, но чуть чуть пьёт. Откармливаем через шприц инсулиновый овсяной кашей детской смешанную с пюре мясным детским говядиной. Кормим этим с утра 3 мл, в обед 3 мл и вечером 3 мл.  Между этим мало кушает банан сушённый, ну , лакомства. Хоть что то. Воду пьёт может по 4 капельки с поилки когда даём. Надеемся что влагу достаточно берёт с пищи и с огурцов с яблоками.

Лекарства которые даём на данный момент:

Ветмидин 1.25 1/10 , 2 раза в день (Мы начали давать как вы говорите 1/6, дали два раза, и затем у него лапки холодными стали становиться (не всегда холодные, но раньше такого не было никогда), но хвост тёплый, из за этого подумали что дозировка сильная, и читали много где что сильная, перешли на 1/10 , таблетка 1.25) , принимает уже 3 дня. в 6:30 утра каждый день и в 18:30
Марфлоксин 80мг 1/18 2 раза в день, принимает уже 6 дней.  в 7:00 утра каждый день и в 19:00
Доксициклин экспресс 100 мг 1/20 2 раза в день, принимает уже 12 дней.  в 7:30 утра каждый день и в 19:30
Боботик 0,4 2 раза в день, принимает уже 3 дня.  в 7:45 утра каждый день и в 19:45

Все лекарства даем с кашей через шприц.

Давали фуросимед 20 числа часов в 10 утра 0.09 мл (10 мг/мл), и смог прям активно отлично бегать бодро, как здоровая крыса минут 45, затем резко всё вернулось обратно в те симптомы что сверху описал. В этот же день вечером уже ещё 0.1 мл фуросимеда вкололи, он эффекта не дал уже никакого. Даже ни на минуту. Мочился после каждого фуросемида, мы смотрели.

Какает, писает, нормально. И ещё, его вес изменился с момента операции. 26 декабря был 470 грамм, где то 15 января был 430 грамм. 21 января 417 грамм. Хвост немного бывает квадратным, обычно проходит когда откармливаем. Слизистые розового цвета, но лапы вне кислорода становиться холодными стали, хвост тёплый.

В концентраторе в боксе у него температура колеблется между 23.1-25.5 и влажность скачет между 45-70%. Сидит в нём с 20 января постоянно. Сегодня 22 января ему было даже на 50% плоховато, но плоховато ему стало после того как от кислорода на час отлучили (3 лекарства давали и кормили). В итоге посадили на 90% кислорода на один час, затем снизили до 50%. Стало нормально. Концентратор у нас АРМЕД YU500.
« Последнее редактирование: 22.01.2026, 15:51:32 Kruska50 »

Оффлайн Maha

  • Главный модеRАТор
  • СоRATник
  • Сообщений: 39.190
  • У крысы четыре ноги, позади длинный хвост...
    • Дневник пользователя
  • Имя: *Мария*
  • Откуда: Москва, Водный стадион
Re: Крыса дышит боками
« Ответ #15 : 23.01.2026, 00:31:13 »
Проконсультируйтесь с Комалтиловой или Ярымовой https://ratmania.ru/forum/index.php?topic=30113.0
Этим врачам писали?
Крыс больше нет... /06.09.2006 - 12.09.2023/

Оффлайн Kruska50

  • Новичок
  • Сообщений: 45
Re: Крыса дышит боками
« Ответ #16 : 23.01.2026, 02:47:53 »
Этим врачам писали?
Писали. Сказали что в принципе ничего нового не назначит. Те рекомендации что дали, более менее.

Укололи преднизолон в 18 40 вчера ему. Стало легче часов в 22. Укололи анальгин в 22 часа. И с 20 часов до пока(сейчас тоже дышит более менее) сейчас дышит не ртом. Бегает сам, ищет кушать, что найдёт кушает. Активен. Спит когда ртом не дышит. 50 на 50 дышит боками и без. Вне бокса кислорода находится с 20 часов.

Оффлайн Kruska50

  • Новичок
  • Сообщений: 45
Re: Крыса дышит боками
« Ответ #17 : 23.01.2026, 08:07:25 »
До 5 утра в итоге был нормально. в 5 утра снова начал дышать ртом.

Вкололи преднизолон ещё.

Оффлайн Maha

  • Главный модеRАТор
  • СоRATник
  • Сообщений: 39.190
  • У крысы четыре ноги, позади длинный хвост...
    • Дневник пользователя
  • Имя: *Мария*
  • Откуда: Москва, Водный стадион
Re: Крыса дышит боками
« Ответ #18 : 23.01.2026, 09:07:59 »
Ветмедин нормальную дозу давайте, 1/6 это минимум и так.
Крыс больше нет... /06.09.2006 - 12.09.2023/

Оффлайн Kruska50

  • Новичок
  • Сообщений: 45
Re: Крыса дышит боками
« Ответ #19 : 23.01.2026, 09:30:57 »
Ветмедин нормальную дозу давайте, 1/6 это минимум и так.
Хорошо.
А по другим параметрам могли бы что нибудь сказать пожалуйста,  что думаете и может что порекомендуете?

Спасибо вам....